Primary Antibodies
Secondary Antibodies
Antibody Panels
Clonality
Host
Applications
Reactivity
Conjugate
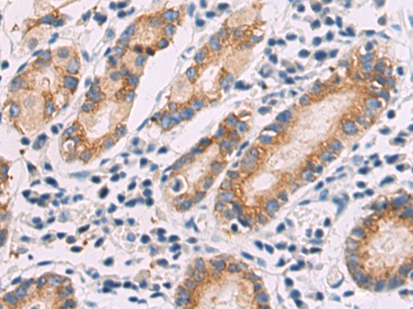
Catalog #: EAB10423
Host / Isotype: Rabbit IgG
Application: WB, IHC-P, IF, ELISA
Reactivity: Human, Mouse, Rat
Conjugate: Unconjugate
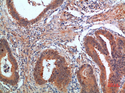
Catalog #: EAB10424
Application: WB, IHC-P, IF/ICC, ELISA
Catalog #: EAB10425
Application: IHC-P, IF, ELISA
Catalog #: EAB10426
Catalog #: EAB22293
Host / Isotype: Mouse IgG1
Application: WB, IP, IHC-P, IF/ICC, FC, ELISA
Catalog #: EAB22292
Application: WB, IP, IHC-P, IF/ICC, FC
Catalog #: EAB13384
Catalog #: EAB11864
Application: WB
Catalog #: EAB22429
Host / Isotype: Mouse IgG2b
Application: WB, IHC-P, IF/ICC
Reactivity: Human, Mouse, Rat, Pig, Bovine